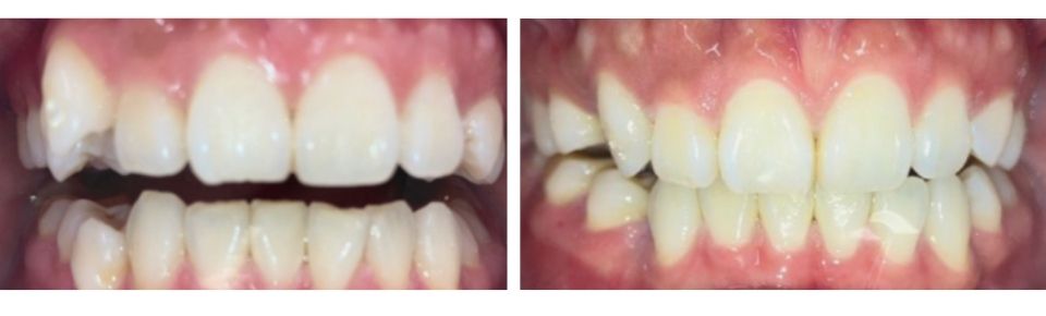
About Invisalign
Invisalign is an innovative orthodontic treatment that uses a series of custom-made, clear aligners to gradually move your teeth into their desired positions. Unlike traditional braces, Invisalign aligners are virtually invisible, allowing you to straighten your teeth without the noticeable appearance of metal brackets and wires.
The Invisalign process begins with a comprehensive consultation with Dr. Bennie. During this visit, we will take digital scans of your teeth to create a precise 3D model. Using this model, we develop a personalized treatment plan that outlines the exact movements of your teeth throughout the entire course of treatment.
Based on this plan, a series of clear aligners will be custom-made for you. Each set of aligners is worn for about one to two weeks before moving on to the next set in the series. The aligners gently and gradually shift your teeth into place, following the progression mapped out in your treatment plan.
Dr. Bennie: Platinum Plus Invisalign Provider
At Artemis Smiles Orthodontics, you’re in expert hands. Dr. Bennie is a recognized Platinum Plus Invisalign Provider, a distinction awarded to doctors with advanced experience and a high number of successful Invisalign cases. This status reflects Dr. Bennie’s commitment to delivering exceptional results with clear aligner therapy for kids, teens, and adults alike. Whether you’re looking for a discreet solution or complex bite correction, you can trust Dr. Bennie’s expertise to guide your smile transformation with confidence.

Benefits of Invisalign
Invisalign aligners are made from clear, medical-grade plastic, making them virtually invisible when worn. This ensures that your orthodontic treatment doesn’t interfere with your appearance, allowing you to smile confidently throughout the process.
Invisalign aligners are custom-made to fit snugly over your teeth, providing a comfortable fit without the irritation often associated with traditional braces. There are no metal brackets or wires that can cause discomfort or sore spots.
One of the most significant advantages of Invisalign is that the aligners are removable. This means you can take them out when eating, drinking, brushing, and flossing. This flexibility allows you to maintain your regular oral hygiene routine and enjoy your favorite foods without restrictions.
Thanks to advanced 3D imaging technology, Invisalign treatment plans are highly precise, providing predictable results. You’ll know exactly what to expect from start to finish and can track your progress throughout the treatment.
With Invisalign, you typically have fewer office visits compared to traditional braces. While regular check-ups are still necessary to monitor your progress, the absence of wire adjustments means less time spent in the orthodontist’s chair.
The process of Invisalign
- Initial Consultation — Your journey with Invisalign begins with a thorough consultation where Dr. Bennie will evaluate your dental health and discuss your treatment goals. We will take digital scans and photographs to create a detailed 3D model of your teeth. We offer Invisalign at the same cost as braces, so you can achieve your smile, your way.
- Personalized Treatment Plan — Using the 3D model, we will design a customized treatment plan that maps out the exact movements of your teeth. This plan will also give you a preview of the expected results.
- Custom Aligners — Once your treatment plan is finalized, a series of custom aligners will be created just for you. Each set of aligners is designed to be worn for about one to two weeks, gradually moving your teeth into place.
- Regular Monitoring — Throughout your treatment, you’ll have periodic check-ups to ensure that everything is progressing as planned. Dr. Bennie will make any necessary adjustments and provide new sets of aligners as needed.
- Achieving Your Perfect Smile — After completing the series of aligners, you’ll achieve a beautifully aligned smile. To maintain the results, you’ll need to wear retainers as directed by Dr. Bennie.
At Artemis Smiles Orthodontics, we are committed to helping you achieve a healthier, more confident smile with the convenience and discretion of Invisalign. Visit our Orthodontist in Sandy Springs, GA, to learn more about how Invisalign can transform your smile and improve your dental health. Our team is here to support you every step of the way, ensuring a positive and successful orthodontic experience.

Invisalign For Kids
At Artemis Smiles Orthodontics, we are proud to offer Invisalign First, a specialized orthodontic treatment designed specifically for children. Invisalign First harnesses the same innovative orthodontic technology as traditional Invisalign but is tailored to meet the unique needs of younger patients. This modern solution provides a comfortable, flexible, and nearly invisible way to address early orthodontic issues in kids.
Invisalign First is a version of Invisalign treatment created to correct a wide range of orthodontic issues in children, including crowding, spacing, and alignment problems. It involves the use of clear, removable aligners that are custom-made to fit your child’s teeth. These aligners gradually and gently guide the teeth into their proper positions, ensuring both functional and aesthetic improvements.
Early Treatment With Invisalign
Early treatment with Invisalign, also known as Phase One treatment, focuses on addressing orthodontic issues in younger patients before all their permanent teeth have come in. At Artemis Smiles Orthodontics, we use Invisalign to guide the growth and alignment of your child’s developing smile, making it easier to correct potential problems early and prevent more complex issues down the road.
Invisalign expanders are a modern, effective tool used in Phase One orthodontic treatment in Atlanta, particularly designed for younger patients whose jaws are still developing. At Artemis Smiles Orthodontics, we use Invisalign expanders to gently widen the upper jaw, creating the necessary space for permanent teeth to erupt and grow into proper alignment. These clear, custom-made aligners are virtually invisible and comfortable, making them an ideal choice for children who need early intervention without the bulkiness of traditional expanders. Phase One treatment with Invisalign expanders helps address alignment issues early on, guiding healthy jaw development and setting the foundation for a well-aligned, beautiful smile in Phase Two treatment.
Invisalign aligners for early treatment are customized to comfortably fit a child’s mouth and are designed to gradually correct issues like crowding, spacing, and bite alignment. With its clear, nearly invisible design, Invisalign offers a discreet solution that makes kids feel confident wearing it, allowing them to continue their daily activities without disruption. By starting orthodontic treatment early, we help children build a solid foundation for a healthier, well-aligned smile that will benefit them throughout their lives.
Why Choose Invisalign First?
Starting orthodontic treatment at an early age can prevent more complex orthodontic problems from developing later. Invisalign First allows Dr. Bennie to address issues as your child’s teeth and jaws are still growing, making it easier to guide their development and achieve optimal results.
Invisalign First is a game-changer for young patients (ages 5-10) who need early orthodontic treatment. Unlike traditional expanders, which can be uncomfortable and require frequent adjustments, Invisalign First offers a pain-free, hassle-free, and emergency-free alternative. These clear aligners gently guide growing smiles into proper alignment without bulky metal appliances or the risk of broken parts. Designed specifically for little mouths, Invisalign First is easy to wear, simple to clean, and allows kids to eat their favorite foods without restrictions. Plus, with no unexpected trips to the orthodontist for repairs, parents can enjoy a stress-free experience while ensuring their child’s healthy, confident smile develops smoothly.
Each set of Invisalign First aligners is custom-made based on digital scans of your child’s teeth. This ensures a precise fit and effective movement of the teeth, providing a highly personalized treatment experience tailored to your child’s unique needs. Using advanced 3D imaging technology, Invisalign First provides a detailed treatment plan that outlines the expected progress and results. This allows for a clear understanding of the treatment process and helps ensure that your child’s teeth are moving as planned.
Investing in orthodontic treatment at an early age can provide lasting benefits, setting the foundation for a lifetime of healthy, confident smiles. At Artemis Smiles Orthodontics, we are committed to providing exceptional care and support for our youngest patients through the advanced technology of Invisalign First.

Invisalign For Teens
At Artemis Smiles Orthodontics, we offer Invisalign Teen, a cutting-edge orthodontic solution designed specifically for teenagers. Invisalign Teen provides the same benefits as traditional Invisalign treatment but includes features that cater to the unique needs and lifestyles of teens. This innovative approach allows your teenager to achieve a beautiful, straight smile with minimal impact on their daily activities.
Invisalign Teen uses a series of clear, removable aligners to gradually move your teenager’s teeth into their correct positions. These aligners are custom-made based on digital scans of your teen’s teeth, ensuring a precise and comfortable fit. Invisalign Teen aligners are virtually invisible, making them an excellent option for image-conscious teens who want to straighten their teeth discreetly.
What Makes Invisalign Teen Unique
An awesome feature of Invisalign Teen is the blue compliance indicators that fade over time with wear. These indicators help Dr. Bennie, and you monitor whether your teen is wearing their aligners as prescribed, ensuring the treatment stays on track.
Invisalign Teen is also designed with special features to accommodate the growing mouths of teenagers, including eruption tabs that allow for the eruption of new teeth. This ensures that the treatment adapts to your teen’s changing smile landscape.
With Invisalign Teen, there are fewer emergency visits for broken brackets or wires. While regular check-ups are still necessary to monitor progress, the overall number of appointments may be reduced compared to traditional braces. Investing in Invisalign Teen can provide your teenager with the confidence and self-esteem that comes with a beautiful, straight smile. At Artemis Smiles Orthodontics, we are dedicated to offering exceptional care and support throughout your teen’s orthodontic journey, ensuring a positive and successful experience.

Invisalign For Adults
At Artemis Smiles Orthodontics, we understand that adults have specific needs and preferences when it comes to orthodontic treatment. Invisalign offers a discreet, comfortable, and effective solution, whether you’re looking for minor touchups or a complete smile redesign. With Invisalign, you can achieve the smile you’ve always wanted without the drawbacks of traditional braces.
Invisalign aligners are made from clear, medical-grade plastic, making them virtually invisible. This allows you to straighten your teeth without drawing attention to your orthodontic treatment, which is especially important in professional and social settings.
Invisalign aligners are custom-made to fit your teeth comfortably. Unlike traditional braces, there are no metal brackets or wires to cause irritation. Additionally, the aligners are removable, allowing you to maintain your regular oral hygiene routine and enjoy your favorite foods without restriction.
For adults balancing work, family, and social commitments, Invisalign offers the flexibility to manage your orthodontic treatment with minimal disruption. You can remove the aligners for important meetings, events, or meals, making it easier to integrate the treatment into your daily life.
Whether you need minor corrections or a complete smile makeover, Invisalign can address a wide range of orthodontic issues, including crowding, spacing, and bite problems. The treatment is highly customizable, ensuring personalized care tailored to your specific needs.
Smile Touchups With Invisalign
Express Invisalign treatment options are designed for patients with mild alignment issues who are looking for a faster, more efficient way to enhance their smile. At Artemis Smiles Orthodontics, we offer Invisalign Express as a streamlined solution for minor crowding, spacing, or slight tooth misalignment. This treatment typically involves fewer aligners and a shorter timeline than traditional Invisalign, often completing results in as little as three to six months. With the same clear, comfortable design as regular Invisalign, Express treatment allows you to achieve noticeable improvements in less time, making it an ideal choice for those seeking quick and effective results. Our team will assess your smile to determine if Express Invisalign is the right fit for your orthodontic goals.
Is Invisalign Right For me?
Invisalign is suitable for a variety of orthodontic issues, from minor spacing problems to more complex alignment challenges. During your consultation, Dr. Bennie will assess your orthodontic needs and determine if Invisalign is the best solution for you.
Investing in orthodontic treatment with Invisalign can offer lifelong benefits, improving both your smile and your dental health. At Artemis Smiles Orthodontics, we are committed to providing personalized care and support throughout your treatment.